















担当医からのコメント
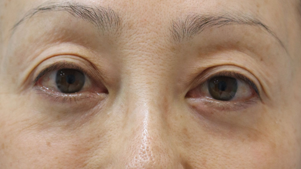
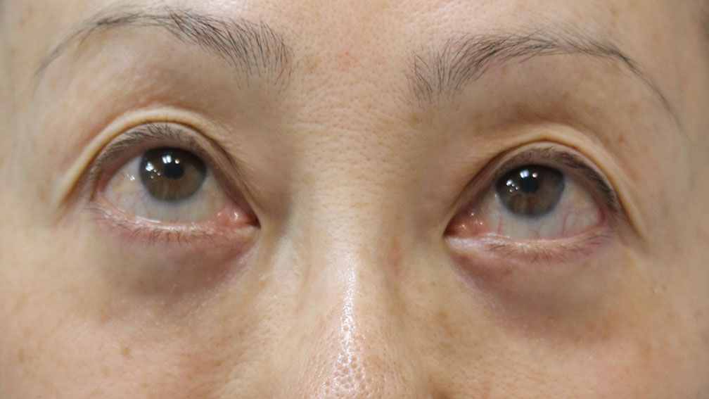
今回ご紹介するケースは50代です。当院では下記のように目の下の治療をクマとたるみの二つに大きく分けています。
【目の下の治療】
①目の下のクマ治療・・・皮膚側を切らないで行う治療:脱脂術、裏ハムラ
②目の下のたるみ治療・・皮膚側を切って行う治療:表ハムラ、ミッドフェイスリフト
今回のケースにおいて実際の目の下の状態・問題点は眼窩脂肪による膨らみです。膨らみのみにフォーカスすれば脱脂術 or 裏ハムラが適応となります。眼窩脂肪さえ処理すれば膨らみはなくなるでしょう。しかし、膨らんでいるということはその外側にある皮膚や筋肉は長年伸ばされストレッチされている状態です。
例えばのはなしになりますが、日常生活レベルで同様な現象をあげると、パンパンに空気の入った風船の中身である空気がなくなればどうなるでしょう?経験されたこともあると思いますが、風船は引き伸ばされて元の風船自体の大きさよりもひと回り大きくなっているはずです。目の下も同様です。
眼窩脂肪の膨らみを改善しても皮膚や筋肉は改善しません。年齢的にも目の下の状態は皮膚や筋肉も緩んでいます。眼窩脂肪の膨らみが長期保持された場合のケースでは皮膚の表側から行うハムラ法である表ハムラが候補になる事が多いです。
*若いうちで膨らみを改善し(この場合、裏ハムラ法に限定します。脱脂術は再発することやその他の合併症が多いからです)、皮膚や筋肉の非外科的治療(高周波など)でメンテナンスケアを行った場合には、目の下の最適な状態はキープされるのではないかと個人的には考えています。
| 性別 | 女性 |
|---|---|
| 年齢 | 50代 |
| 撮影時期 | 術後3ヶ月 |
| 施術ドクター | 三沢 尚弘 |
| 性別 | 女性 | 年齢 | 50代 |
|---|---|---|---|
| 撮影時期 | 術後3ヶ月 | 施術ドクター | 三沢 尚弘 |
| 施術概要 | 下まぶたのたるみ取り(ハムラ法) |
|---|---|
| 施術費用 | ¥
770,000 (税込)
|
| 合併症リスク | 出血、感染、術後瘢痕問題(ケロイド、肥厚性瘢痕などの発生)、麻酔・薬剤によるアレルギー・アナフィラキシーショック、ドライアイ、一過性の視力低下、顔貌の変化、二重の左右差、まぶたの皮膚知覚障害、糸が露出する、目の中のゴロゴロ感、皮膚色素沈着、皮膚の表面の凸凹、頭痛、吐き気、その他再発など、下眼瞼外反症、睫毛内反症、目の下のつっぱり感、仕上がりの左右差 |

この施術に関する情報


形成・美容外科
エムズクリニック 院長
形成外科専門医・救急科専門医
医学部を卒業後、日本屈指の研修施設病院である亀田総合病院で卒後研修を開始。医療の原点となる救命救急センターに8年間従事。
その後、米国臨床留学の登竜門である米国海軍病院に1年間勤務。医師として、そして外科医としてのトレーニングを研鑽し医療の礎を築き、平成28年6月に横浜市鶴見に『形成・美容外科 エムズクリニック』を開院

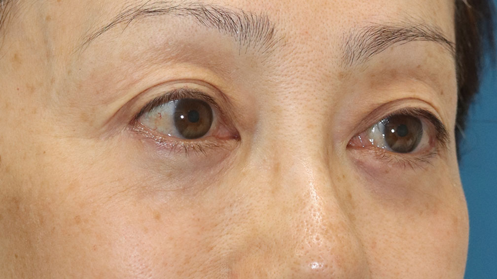
50代 目の下の膨らみが強い方です。膨らみがなくなれば年齢的にも皮膚のたるみが出るのは必発です。したがって、皮膚側から行う『表ハムラ』を行いました。















担当医からのコメント
今回ご紹介するケースは50代です。当院では下記のように目の下の治療をクマとたるみの二つに大きく分けています。
【目の下の治療】
①目の下のクマ治療・・・皮膚側を切らないで行う治療:脱脂術、裏ハムラ
②目の下のたるみ治療・・皮膚側を切って行う治療:表ハムラ、ミッドフェイスリフト
今回のケースにおいて実際の目の下の状態・問題点は眼窩脂肪による膨らみです。膨らみのみにフォーカスすれば脱脂術 or 裏ハムラが適応となります。眼窩脂肪さえ処理すれば膨らみはなくなるでしょう。しかし、膨らんでいるということはその外側にある皮膚や筋肉は長年伸ばされストレッチされている状態です。
例えばのはなしになりますが、日常生活レベルで同様な現象をあげると、パンパンに空気の入った風船の中身である空気がなくなればどうなるでしょう?経験されたこともあると思いますが、風船は引き伸ばされて元の風船自体の大きさよりもひと回り大きくなっているはずです。目の下も同様です。
眼窩脂肪の膨らみを改善しても皮膚や筋肉は改善しません。年齢的にも目の下の状態は皮膚や筋肉も緩んでいます。眼窩脂肪の膨らみが長期保持された場合のケースでは皮膚の表側から行うハムラ法である表ハムラが候補になる事が多いです。
*若いうちで膨らみを改善し(この場合、裏ハムラ法に限定します。脱脂術は再発することやその他の合併症が多いからです)、皮膚や筋肉の非外科的治療(高周波など)でメンテナンスケアを行った場合には、目の下の最適な状態はキープされるのではないかと個人的には考えています。
| 性別 | 女性 |
|---|---|
| 年齢 | 50代 |
| 撮影時期 | 術後3ヶ月 |
| 施術ドクター | 三沢 尚弘 |
| 性別 | 女性 | 年齢 | 50代 |
|---|---|---|---|
| 撮影時期 | 術後3ヶ月 | 施術ドクター | 三沢 尚弘 |
| 施術概要 | 下まぶたのたるみ取り(ハムラ法) |
|---|---|
| 施術費用 | ¥
770,000 (税込)
|
| 副作用リスク | 出血、感染、術後瘢痕問題(ケロイド、肥厚性瘢痕などの発生)、麻酔・薬剤によるアレルギー・アナフィラキシーショック、ドライアイ、一過性の視力低下、顔貌の変化、二重の左右差、まぶたの皮膚知覚障害、糸が露出する、目の中のゴロゴロ感、皮膚色素沈着、皮膚の表面の凸凹、頭痛、吐き気、その他再発など、下眼瞼外反症、睫毛内反症、目の下のつっぱり感、仕上がりの左右差 |

この施術に関する情報


形成・美容外科
エムズクリニック 院長
形成外科専門医・救急科専門医
医学部を卒業後、日本屈指の研修施設病院である亀田総合病院で卒後研修を開始。医療の原点となる救命救急センターに8年間従事。
その後、米国臨床留学の登竜門である米国海軍病院に1年間勤務。医師として、そして外科医としてのトレーニングを研鑽し医療の礎を築き、平成28年6月に横浜市鶴見に『形成・美容外科 エムズクリニック』を開院
50代 目の下の膨らみが強い方です。膨らみがなくなれば年齢的にも皮膚のたるみが出るのは必発です。したがって、皮膚側から行う『表ハムラ』を行いました。