
目の上がくぼみ目の方には脱脂術は行ってはいけません。くぼみ目のある方には裏ハムラを行います。裏ハムラ法おこなうことで目の……
目の上がくぼみ目の方には脱脂術は行ってはいけません。くぼみ目のある方には裏ハムラを行います。裏ハムラ法おこなうことで目の……
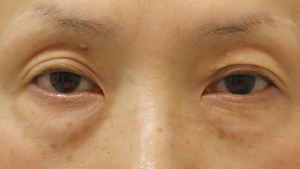
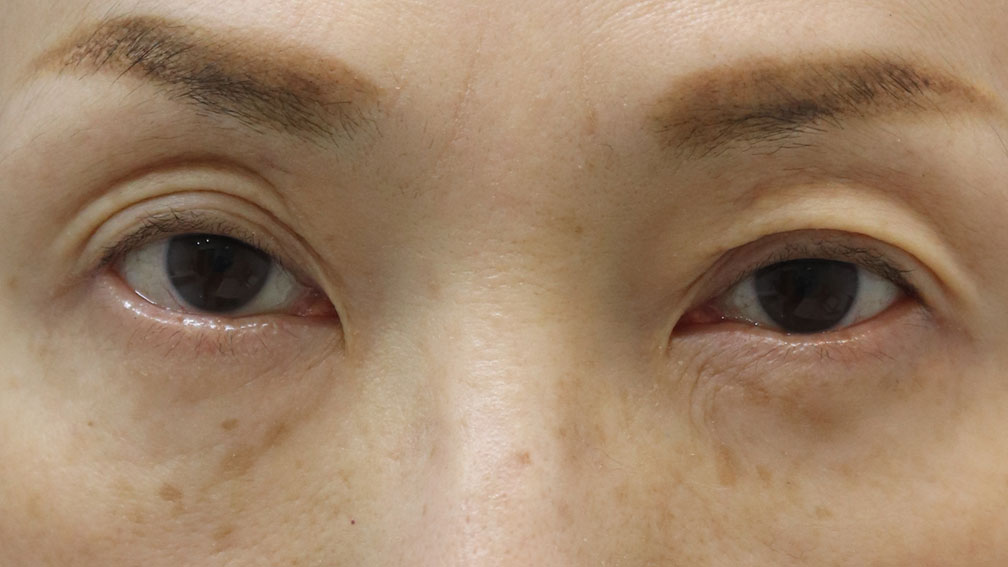
裏ハムラには適応があります。今回ご紹介する方は絶好の適応症例でした。涙袋がハッキリと出て、目の下が綺麗に整い、若々しい目……
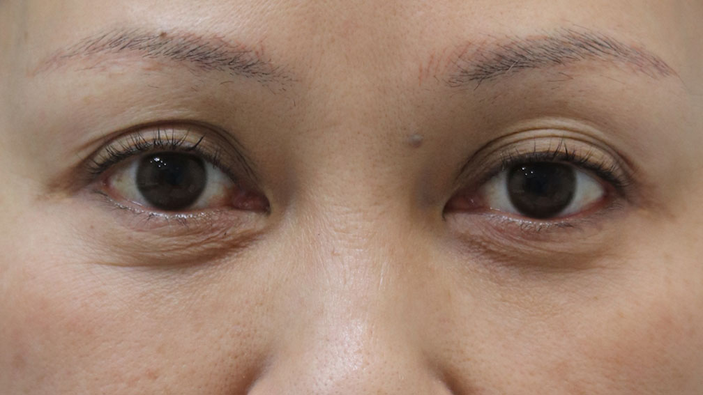
50代 目の下の膨らみが強い方です。膨らみがなくなれば年齢的にも皮膚のたるみが出るのは必発です。したがって、皮膚側から行……
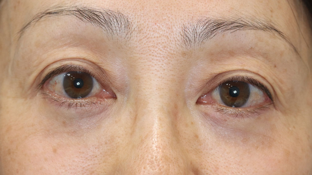
今回ご紹介するのは下まぶたのタルミがある方です。皮膚の表側から行う下眼瞼施術の王道であるハムラ法を行いました。また、同時……
目の下の『ハの字』変形はゴルゴ線と呼ばれるものです。これは目の下の膨らみ=眼窩脂肪がOrbital Retainng L……
目の下の膨らみの原因は眼窩脂肪です。その眼窩脂肪が膨らむと、目の下の涙袋が消えてしまいます。今回は裏ハムラ法によって目の……

これまで多岐にわたる医療分野おいて経験を重ね、技術を磨いてきました。
そして、平成28年6月、多くの方に出会い支えられ、JR鶴見駅西口に『形成・美容外科 エムズクリニック(M’s Clinic)』を開院しました。
その後、令和3年にJR鶴見駅東口に移転し、現在に至ります。
当院では、保険診療である皮フ科・形成外科から自費診療である美容皮膚科・美容外科にいたるまで幅広い医療をご提供しています。とくに目の上、 目の下など目の周りの手術を得意としています。
三つの専門医の立場から、お一人、おひとりの悩みに真摯に向き合い、オーダーメイドの治療を心がけています。患者さまに安心して美容医療を受けていただけるように、
最新の情報や知識を取り入れて「信頼と安心」の於けるクリニックであることを追求しています。
よろしくお願いします。