















担当医からのコメント
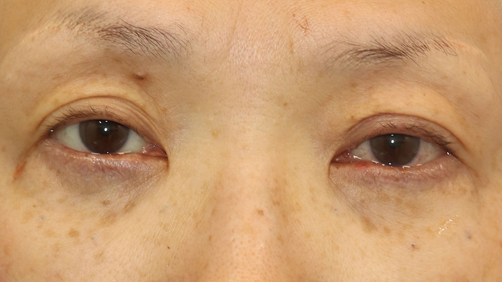
裏ハムラ(経結膜的眼窩脂肪移動術)を60代の方に行いました。年齢からも本来であれば表ハムラ(経皮的眼窩脂肪移動術)が適応なのですが、その方の要望(ダウンタイム)や状態(皮膚の伸張度)などによって今回は裏ハムラ(経結膜的眼窩脂肪移動術)を行うことになりました。
皮膚の戻りが良いとこの方のように、術後目の下にシワができることはありません。これは全ての方に言えるわけではありません。個人差があります。
治療前にそれをある程度予測することはできますが、年齢とともに目の下の膨らみが改善されれば、それまで膨らみによって伸ばされていた皮膚は必然的に緩むのが自然です。このケースでは皮膚の緩みがあまりでない、『戻りの改善』が良いだろうと予測できました。
年齢で一概に裏ハムラ=ダメ、表ハムラのみとは言い切れないケースでした。
| 性別 | 女性 |
|---|---|
| 年齢 | 60代 |
| 撮影時期 | 術後3ヶ月 |
| 施術ドクター | 三沢 尚弘 |
| 性別 | 女性 | 年齢 | 60代 |
|---|---|---|---|
| 撮影時期 | 術後3ヶ月 | 施術ドクター | 三沢 尚弘 |
| 施術概要 | 裏ハムラ(経結膜的眼窩脂肪移動術) |
|---|---|
| 施術費用 | ¥
550,000 (税込)
|
| 合併症リスク | 出血、感染、術後瘢痕問題(ケロイド、肥厚性瘢痕などの発生)、麻酔・薬剤によるアレルギー・アナフィラキシーショック、ドライアイ、一過性の視力低下、顔貌の変化、二重の左右差、まぶたの皮膚知覚障害、糸が露出する、目の中のゴロゴロ感、皮膚色素沈着、皮膚の表面の凸凹、頭痛、吐き気、その他再発など、下眼瞼外反症、睫毛内反症、目の下のつっぱり感、仕上がりの左右差 |

この施術に関する情報


形成・美容外科
エムズクリニック 院長
形成外科専門医・救急科専門医
医学部を卒業後、日本屈指の研修施設病院である亀田総合病院で卒後研修を開始。医療の原点となる救命救急センターに8年間従事。
その後、米国臨床留学の登竜門である米国海軍病院に1年間勤務。医師として、そして外科医としてのトレーニングを研鑽し医療の礎を築き、平成28年6月に横浜市鶴見に『形成・美容外科 エムズクリニック』を開院

裏ハムラ(経結膜的眼窩脂肪移動術)を60代の方に行いました。年齢からも本来であれば表ハムラ(経皮的眼窩脂肪移動術)が適応なのですが、その方の要望(ダウンタイム)や状態(皮膚の伸張度)などによって、今回は裏ハムラ(経結膜的眼窩脂肪移動術)を行うことになりました。















担当医からのコメント
裏ハムラ(経結膜的眼窩脂肪移動術)を60代の方に行いました。年齢からも本来であれば表ハムラ(経皮的眼窩脂肪移動術)が適応なのですが、その方の要望(ダウンタイム)や状態(皮膚の伸張度)などによって今回は裏ハムラ(経結膜的眼窩脂肪移動術)を行うことになりました。
皮膚の戻りが良いとこの方のように、術後目の下にシワができることはありません。これは全ての方に言えるわけではありません。個人差があります。
治療前にそれをある程度予測することはできますが、年齢とともに目の下の膨らみが改善されれば、それまで膨らみによって伸ばされていた皮膚は必然的に緩むのが自然です。このケースでは皮膚の緩みがあまりでない、『戻りの改善』が良いだろうと予測できました。
年齢で一概に裏ハムラ=ダメ、表ハムラのみとは言い切れないケースでした。
| 性別 | 女性 |
|---|---|
| 年齢 | 60代 |
| 撮影時期 | 術後3ヶ月 |
| 施術ドクター | 三沢 尚弘 |
| 性別 | 女性 | 年齢 | 60代 |
|---|---|---|---|
| 撮影時期 | 術後3ヶ月 | 施術ドクター | 三沢 尚弘 |
| 施術概要 | 裏ハムラ(経結膜的眼窩脂肪移動術) |
|---|---|
| 施術費用 | ¥
550,000 (税込)
|
| 副作用リスク | 出血、感染、術後瘢痕問題(ケロイド、肥厚性瘢痕などの発生)、麻酔・薬剤によるアレルギー・アナフィラキシーショック、ドライアイ、一過性の視力低下、顔貌の変化、二重の左右差、まぶたの皮膚知覚障害、糸が露出する、目の中のゴロゴロ感、皮膚色素沈着、皮膚の表面の凸凹、頭痛、吐き気、その他再発など、下眼瞼外反症、睫毛内反症、目の下のつっぱり感、仕上がりの左右差 |

この施術に関する情報


形成・美容外科
エムズクリニック 院長
形成外科専門医・救急科専門医
医学部を卒業後、日本屈指の研修施設病院である亀田総合病院で卒後研修を開始。医療の原点となる救命救急センターに8年間従事。
その後、米国臨床留学の登竜門である米国海軍病院に1年間勤務。医師として、そして外科医としてのトレーニングを研鑽し医療の礎を築き、平成28年6月に横浜市鶴見に『形成・美容外科 エムズクリニック』を開院
裏ハムラ(経結膜的眼窩脂肪移動術)を60代の方に行いました。年齢からも本来であれば表ハムラ(経皮的眼窩脂肪移動術)が適応なのですが、その方の要望(ダウンタイム)や状態(皮膚の伸張度)などによって、今回は裏ハムラ(経結膜的眼窩脂肪移動術)を行うことになりました。