











担当医からのコメント
先天性眼瞼下垂症の修正手術について
先天性眼瞼下垂(せんてんせいがんけんかすい)とは、生まれつきまぶたを上げる筋肉(主に眼瞼挙筋)の発達が不十分なために、上まぶたが下がっている状態を指します。視力の発達に影響を及ぼすこともあるため、幼少期からの適切な評価が重要です。
今回の症例は、過去に両目の「挙筋前転術」を受けられた方の修正手術です。
先天性眼瞼下垂の主な手術方法
基本的には、まぶたの状態に応じて以下の2つの術式から選択されます。
眼瞼挙筋前転術(がんけんきょきんぜんてんじゅつ):
まぶたを持ち上げる筋肉(挙筋)に一定の機能が残っている場合に行います。筋肉を短縮して前方に移動させることで、引き上げる力を強めます。
前頭筋吊り上げ術(ぜんとうきんつりあげじゅつ):
挙筋の機能が非常に弱い重症例に適応されます。太ももや側頭部の筋膜、あるいは人工素材を用いて、額の筋肉(前頭筋)の力でまぶたを上げられるようにする方法です。
成人の方でもこの2つの治療法が基本となります。当院では重症の場合、ご自身の筋膜を使用する「側頭筋膜移植術」を行っています。
今回の手術経過と結果:
術前診察の結果、今回は側頭筋膜移植を予定して手術に臨みました。しかし、手術中の経過を検討した結果、最終的には「挙筋前転術」のみで手術を終了しました。
【現在の状況】
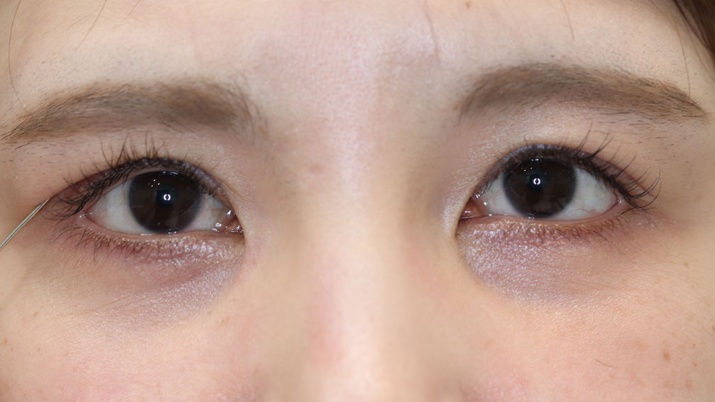
術後は術前よりも開瞼(まぶたの開き)が良くなり、瞳の露出も改善しています。ただし、右目の挙筋機能が左目よりも弱いため、現時点では左右差が認められます。
一般的に、先天性眼瞼下垂の成人例では、挙筋前転術のみで十分な改善を得ることは難しく、筋膜移植などの吊り上げ術が必要になるケースが多いです。しかし、今回の症例では、左目が挙筋前転術のみでほぼ正常な位置まで改善しました。そのため、もし右目だけに側頭筋膜移植を行っていた場合、現状よりもさらに左右のバランスが崩れていた可能性(乖離)があります。
【今後の検討について】
もし、左右の瞳の大きさをさらに揃えたいのであれば、右目に「側頭筋膜移植」を行う選択肢があります。移植を行えば右目の開きはさらに大きくなります。
ただし、以下の点に注意が必要です。
バランスの差: 右目のみを吊り上げることで、左目との質感や動きのバランスに差が生じる可能性があります。
遅れ目現象: 吊り上げ術の特性上、下を見たときにまぶたが取り残される「遅れ目現象」が必ず起こります。
眼瞼下垂症の手術は重力に逆らって行う難易度の高い治療です。最大限に左右差をなくすよう努めておりますが、筋肉の機能差などにより、結果として左右差が残る場合があることをご理解いただけますと幸いです。
| 性別 | 女性 |
|---|---|
| 年齢 | 30代 |
| 撮影時期 | 術後3ヶ月 |
| 施術ドクター | 三沢 尚弘 |
| 性別 | 女性 | 年齢 | 30代 |
|---|---|---|---|
| 撮影時期 | 術後3ヶ月 | 施術ドクター | 三沢 尚弘 |
| 施術概要 | 眼瞼下垂症手術(切開式)挙筋前転 |
|---|---|
| 施術費用 | ¥
550,000〜 (税込)
|
| 合併症リスク | 出血、感染、術後瘢痕問題(ケロイド、肥厚性瘢痕などの発生)、麻酔・薬剤によるアレルギー・アナフィラキシーショック、ドライアイ、一過性の視力低下、顔貌の変化、二重の左右差、まぶたの皮膚知覚障害、糸が露出する、目の中のゴロゴロ感、皮膚色素沈着、皮膚の表面の凸凹、頭痛、吐き気、その他再発など、、仕上がりの左右差 |

この施術に関する情報


形成・美容外科
エムズクリニック 院長
形成外科専門医・救急科専門医
医学部を卒業後、日本屈指の研修施設病院である亀田総合病院で卒後研修を開始。医療の原点となる救命救急センターに8年間従事。
その後、米国臨床留学の登竜門である米国海軍病院に1年間勤務。医師として、そして外科医としてのトレーニングを研鑽し医療の礎を築き、平成28年6月に横浜市鶴見に『形成・美容外科 エムズクリニック』を開院

今回ご紹介するのは、成人の先天性眼瞼下垂症の方です。通常は側頭筋筋膜移植による再建をするのですが、今回のケースは挙筋前転のみで改善しました。











担当医からのコメント
先天性眼瞼下垂症の修正手術について
先天性眼瞼下垂(せんてんせいがんけんかすい)とは、生まれつきまぶたを上げる筋肉(主に眼瞼挙筋)の発達が不十分なために、上まぶたが下がっている状態を指します。視力の発達に影響を及ぼすこともあるため、幼少期からの適切な評価が重要です。
今回の症例は、過去に両目の「挙筋前転術」を受けられた方の修正手術です。
先天性眼瞼下垂の主な手術方法
基本的には、まぶたの状態に応じて以下の2つの術式から選択されます。
眼瞼挙筋前転術(がんけんきょきんぜんてんじゅつ):
まぶたを持ち上げる筋肉(挙筋)に一定の機能が残っている場合に行います。筋肉を短縮して前方に移動させることで、引き上げる力を強めます。
前頭筋吊り上げ術(ぜんとうきんつりあげじゅつ):
挙筋の機能が非常に弱い重症例に適応されます。太ももや側頭部の筋膜、あるいは人工素材を用いて、額の筋肉(前頭筋)の力でまぶたを上げられるようにする方法です。
成人の方でもこの2つの治療法が基本となります。当院では重症の場合、ご自身の筋膜を使用する「側頭筋膜移植術」を行っています。
今回の手術経過と結果:
術前診察の結果、今回は側頭筋膜移植を予定して手術に臨みました。しかし、手術中の経過を検討した結果、最終的には「挙筋前転術」のみで手術を終了しました。
【現在の状況】
術後は術前よりも開瞼(まぶたの開き)が良くなり、瞳の露出も改善しています。ただし、右目の挙筋機能が左目よりも弱いため、現時点では左右差が認められます。
一般的に、先天性眼瞼下垂の成人例では、挙筋前転術のみで十分な改善を得ることは難しく、筋膜移植などの吊り上げ術が必要になるケースが多いです。しかし、今回の症例では、左目が挙筋前転術のみでほぼ正常な位置まで改善しました。そのため、もし右目だけに側頭筋膜移植を行っていた場合、現状よりもさらに左右のバランスが崩れていた可能性(乖離)があります。
【今後の検討について】
もし、左右の瞳の大きさをさらに揃えたいのであれば、右目に「側頭筋膜移植」を行う選択肢があります。移植を行えば右目の開きはさらに大きくなります。
ただし、以下の点に注意が必要です。
バランスの差: 右目のみを吊り上げることで、左目との質感や動きのバランスに差が生じる可能性があります。
遅れ目現象: 吊り上げ術の特性上、下を見たときにまぶたが取り残される「遅れ目現象」が必ず起こります。
眼瞼下垂症の手術は重力に逆らって行う難易度の高い治療です。最大限に左右差をなくすよう努めておりますが、筋肉の機能差などにより、結果として左右差が残る場合があることをご理解いただけますと幸いです。
| 性別 | 女性 |
|---|---|
| 年齢 | 30代 |
| 撮影時期 | 術後3ヶ月 |
| 施術ドクター | 三沢 尚弘 |
| 性別 | 女性 | 年齢 | 30代 |
|---|---|---|---|
| 撮影時期 | 術後3ヶ月 | 施術ドクター | 三沢 尚弘 |
| 施術概要 | 眼瞼下垂症手術(切開式)挙筋前転 |
|---|---|
| 施術費用 | ¥
550,000〜 (税込)
|
| 副作用リスク | 出血、感染、術後瘢痕問題(ケロイド、肥厚性瘢痕などの発生)、麻酔・薬剤によるアレルギー・アナフィラキシーショック、ドライアイ、一過性の視力低下、顔貌の変化、二重の左右差、まぶたの皮膚知覚障害、糸が露出する、目の中のゴロゴロ感、皮膚色素沈着、皮膚の表面の凸凹、頭痛、吐き気、その他再発など、、仕上がりの左右差 |

この施術に関する情報


形成・美容外科
エムズクリニック 院長
形成外科専門医・救急科専門医
医学部を卒業後、日本屈指の研修施設病院である亀田総合病院で卒後研修を開始。医療の原点となる救命救急センターに8年間従事。
その後、米国臨床留学の登竜門である米国海軍病院に1年間勤務。医師として、そして外科医としてのトレーニングを研鑽し医療の礎を築き、平成28年6月に横浜市鶴見に『形成・美容外科 エムズクリニック』を開院
今回ご紹介するのは、成人の先天性眼瞼下垂症の方です。通常は側頭筋筋膜移植による再建をするのですが、今回のケースは挙筋前転のみで改善しました。