













担当医からのコメント
今回のケースのように、目の下に涙袋があってその下に眼窩脂肪が突出しているタイプはベストな裏ハムラ適応と考えています。
裏ハムラは「下まぶたのふくらみ(眼窩脂肪の突出)」を除去するのではなく、突出して(飛び出た)膨らんでいる眼窩脂肪を凹んだ部分位移動して目の下の形態を平らにする手術です。そのため、以下のようなケースに適しています。
目の下の膨らみ(脂肪の突出)がある
・「目袋」がはっきりしている人。
・加齢や遺伝で眼窩脂肪が前に出てきている人。
目の下にくぼみ・段差(クマ)がある
・「ふくらみのすぐ下が凹んで影になる」状態。
・ゴルゴ線(頬に向かう溝)や涙袋の下の溝(Tear Trough Deformity)が目立つ場合。
皮膚の余りが少ない/軽度
・皮膚のたるみは軽度で、主に脂肪の位置異常が原因の人。
*年齢としては、40代半ばまでが多いことがありますが、50歳過ぎても皮膚の弾力がある方では適応になる場合もあります。
比較的若年〜中年層
・上記3にも関係してることですが、皮膚の弾力がまだある年齢層に向いてます。
*皮膚の可逆性がある方です。ある一定の期間脂肪の膨らみで皮膚が伸ばさせれていると皮膚が伸ばされたままになって戻りません。これを可逆性の反対で不可逆性と言います。
皮膚のたるみが強い人(皮膚切除や表ハムラの方が適応)
眼輪筋が弱く、手術後に外反などのリスクがある人
眼窩脂肪が少なく、主に皮膚の萎縮や色素沈着が原因のクマ
裏ハムラは「膨らみを取る」のではなく「凹みを埋め」て目の下の形態を平らにして自然で若々しい仕上がりにする方法です。適応になる人ならない人は上記のようにまとめてはいますが、実際に診て状態を観察しないとわからないことがあります。お気軽にご相談に来てください。
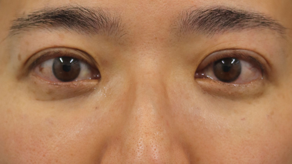
今回のケースはいかがでしょうか?before Afterを比較して頂ければ一目瞭然です。術前の状態では折角ある涙袋がその下から突出される眼窩脂肪の膨らみによって台無しになっています。裏ハムラ法によってしっかりと改善されたかと思います。ご本人からも『やって良かった!』との声もあり、それに貢献できた術者としてもとてもハッピーです。
| 性別 | 女性 |
|---|---|
| 年齢 | 40代 |
| 撮影時期 | 術後3ヶ月 |
| 施術ドクター | 三沢 尚弘 |
| 性別 | 女性 | 年齢 | 40代 |
|---|---|---|---|
| 撮影時期 | 術後3ヶ月 | 施術ドクター | 三沢 尚弘 |
| 施術概要 | 裏ハムラ(経結膜的眼窩脂肪移動術) |
|---|---|
| 施術費用 | ¥
550,000 (税込)
|
| 合併症リスク | 出血、感染、術後瘢痕問題(ケロイド、肥厚性瘢痕などの発生)、麻酔・薬剤によるアレルギー・アナフィラキシーショック、ドライアイ、一過性の視力低下、顔貌の変化、二重の左右差、まぶたの皮膚知覚障害、糸が露出する、目の中のゴロゴロ感、皮膚色素沈着、皮膚の表面の凸凹、頭痛、吐き気、その他再発など、下眼瞼外反症、睫毛内反症、目の下のつっぱり感、仕上がりの左右差 |

この施術に関する情報


形成・美容外科
エムズクリニック 院長
形成外科専門医・救急科専門医
医学部を卒業後、日本屈指の研修施設病院である亀田総合病院で卒後研修を開始。医療の原点となる救命救急センターに8年間従事。
その後、米国臨床留学の登竜門である米国海軍病院に1年間勤務。医師として、そして外科医としてのトレーニングを研鑽し医療の礎を築き、平成28年6月に横浜市鶴見に『形成・美容外科 エムズクリニック』を開院

裏ハムラには適応があります。今回ご紹介する方は絶好の適応症例でした。涙袋がハッキリと出て、目の下が綺麗に整い、若々しい目元が復活しました。













担当医からのコメント
今回のケースのように、目の下に涙袋があってその下に眼窩脂肪が突出しているタイプはベストな裏ハムラ適応と考えています。
裏ハムラは「下まぶたのふくらみ(眼窩脂肪の突出)」を除去するのではなく、突出して(飛び出た)膨らんでいる眼窩脂肪を凹んだ部分位移動して目の下の形態を平らにする手術です。そのため、以下のようなケースに適しています。
目の下の膨らみ(脂肪の突出)がある
・「目袋」がはっきりしている人。
・加齢や遺伝で眼窩脂肪が前に出てきている人。
目の下にくぼみ・段差(クマ)がある
・「ふくらみのすぐ下が凹んで影になる」状態。
・ゴルゴ線(頬に向かう溝)や涙袋の下の溝(Tear Trough Deformity)が目立つ場合。
皮膚の余りが少ない/軽度
・皮膚のたるみは軽度で、主に脂肪の位置異常が原因の人。
*年齢としては、40代半ばまでが多いことがありますが、50歳過ぎても皮膚の弾力がある方では適応になる場合もあります。
比較的若年〜中年層
・上記3にも関係してることですが、皮膚の弾力がまだある年齢層に向いてます。
*皮膚の可逆性がある方です。ある一定の期間脂肪の膨らみで皮膚が伸ばさせれていると皮膚が伸ばされたままになって戻りません。これを可逆性の反対で不可逆性と言います。
皮膚のたるみが強い人(皮膚切除や表ハムラの方が適応)
眼輪筋が弱く、手術後に外反などのリスクがある人
眼窩脂肪が少なく、主に皮膚の萎縮や色素沈着が原因のクマ
裏ハムラは「膨らみを取る」のではなく「凹みを埋め」て目の下の形態を平らにして自然で若々しい仕上がりにする方法です。適応になる人ならない人は上記のようにまとめてはいますが、実際に診て状態を観察しないとわからないことがあります。お気軽にご相談に来てください。
今回のケースはいかがでしょうか?before Afterを比較して頂ければ一目瞭然です。術前の状態では折角ある涙袋がその下から突出される眼窩脂肪の膨らみによって台無しになっています。裏ハムラ法によってしっかりと改善されたかと思います。ご本人からも『やって良かった!』との声もあり、それに貢献できた術者としてもとてもハッピーです。
| 性別 | 女性 |
|---|---|
| 年齢 | 40代 |
| 撮影時期 | 術後3ヶ月 |
| 施術ドクター | 三沢 尚弘 |
| 性別 | 女性 | 年齢 | 40代 |
|---|---|---|---|
| 撮影時期 | 術後3ヶ月 | 施術ドクター | 三沢 尚弘 |
| 施術概要 | 裏ハムラ(経結膜的眼窩脂肪移動術) |
|---|---|
| 施術費用 | ¥
550,000 (税込)
|
| 副作用リスク | 出血、感染、術後瘢痕問題(ケロイド、肥厚性瘢痕などの発生)、麻酔・薬剤によるアレルギー・アナフィラキシーショック、ドライアイ、一過性の視力低下、顔貌の変化、二重の左右差、まぶたの皮膚知覚障害、糸が露出する、目の中のゴロゴロ感、皮膚色素沈着、皮膚の表面の凸凹、頭痛、吐き気、その他再発など、下眼瞼外反症、睫毛内反症、目の下のつっぱり感、仕上がりの左右差 |

この施術に関する情報


形成・美容外科
エムズクリニック 院長
形成外科専門医・救急科専門医
医学部を卒業後、日本屈指の研修施設病院である亀田総合病院で卒後研修を開始。医療の原点となる救命救急センターに8年間従事。
その後、米国臨床留学の登竜門である米国海軍病院に1年間勤務。医師として、そして外科医としてのトレーニングを研鑽し医療の礎を築き、平成28年6月に横浜市鶴見に『形成・美容外科 エムズクリニック』を開院
裏ハムラには適応があります。今回ご紹介する方は絶好の適応症例でした。涙袋がハッキリと出て、目の下が綺麗に整い、若々しい目元が復活しました。