























担当医からのコメント
裏ハムラ法(経結膜下ハムラ法)は、主に 下まぶたの目の下のクマ(膨らみや凹み) を改善する施術です。まぶたの裏側(結膜側)から脂肪を移動させて、下まぶたの段差や影をなめらかにします。そのため、「上まぶたの凹み」に直接的な効果は期待できないとものと思われていますが、当院では目の上がくぼんでいる=くぼみ目の方に裏ハムラ法を行うことで目の下のクマも当然のことながら、目の上のくぼみも同時に改善する多くの症例を経験しています。今回はその中の一例をご紹介したいと思います。
くぼみ目(目の上)も目の下のクマも関係しているのは下図の黄色点線で囲った眼窩脂肪です。年齢とともに眼窩脂肪は移動します(*詳しくは下記にて)。これを『眼窩脂肪の偏在』と言います。

眼窩脂肪の偏在とは、老化・加齢によって目の上の眼窩脂肪が下に移るようなイメージです。
*実際移ったわけではありませんが、移動したと思って差し支えないです。
眼窩脂肪が年齢とともに重力に従って眼球の上方から下へ滑り落ちる(=下がった、スライディングした)のでその結果として目の上は凹み、逆に目の下は膨らみます。
眼窩脂肪は体重の増減で多少は影響しますが、それほど極端には変わりません。生まれつき多い人もいれば、少ない人もいます。
眼窩脂肪を安易に取ることはお勧めできません。眼窩脂肪が理由があってそこに存在するわけです。主な理由としてはケガなどの外的な力から眼球を守るクッション的な役割を担っています。
眼窩脂肪によって目の下が膨らんでいると『歳を感じる』『怖い顔』『疲れてそう』などマイナスイメージを与えます。それを改善することは美容外科医の立場からしても全く否定はしませんし、むしろ肯定派の立場です。
しかしながら、機能的にも意味のある眼窩脂肪を安易に取ってしまう(脱脂術)はお勧めすることはできません。
脱脂術によって眼窩脂肪の量は減らすことができます。これは確かです。あるものと取れば少なくなる=無くなります。しかし、人間にあるもので一度取ったものを元通りに戻すことはできません。取りすぎてしまったり、取り残してしまったりすることもあります。
脱脂術はその人の眼窩脂肪をどれだけの量を取れば良いのか明確な基準がありません(おそらく、外科医全員に聞いても明確な判断基準はないでしょう。)。取りすぎないように安全に取る場合にしても『出てる分取れば良い』ということですが、その出た分というのは何を持って出ているのか?を術前に評価することはできず、他の治療に比べて非常に感覚的なものです。
*また、靭帯処理(orbital retaining ligament)などは行っていたないため再発や目の下の凹みであるTear Trough Defomityなどは改善しません。
脱脂術では今回の事例のように目の上が凹んだ人=くぼみ目の方には行わない方が良いです。前述した眼窩脂肪についての説明を理解していただければ容易です。目の上が相対的に少ないのに目の下にある脂肪を取ってしまえば絶対量が不足するのでさらに目の上が凹むからです。
一度取られて凹んでしまった眼窩脂肪は元に戻すことはできません。ですから、目の上が凹んだ人(くぼみ目)の方に脱脂術をすることは基本やってはいけないのです。
これまでくぼみ目の方に脱脂術をしてはいけない理由はお分かりになったと思います。
今回の本題である『裏ハムラでくぼみ目がなぜ治る?』に関して説明したいと思います。
裏ハムラ法は脱脂術とは異なる方法です。

目の上から目の下に移動した眼窩脂肪が飛び出て目の下のクマ(膨らみ)を形成しています。また、靱帯(Orbital Retaining Ligament)によってそれ以上は下に移動することができないので、靱帯部分で垂れ下がるようにクマが存在します。この靱帯(Orbital Retaining Ligament)を切離して、その下に脂肪を再配置させるのがハムラ法における基本コンセプトです。
眼窩脂肪は眼窩隔膜という膜に包まれています(ある程度しっかりとした膜です。)。眼窩脂肪が飛び出てくると一緒に脂肪を包んでいる袋である眼窩隔膜も伸びきってしまいます。当院での裏ハムラ法はこの伸びてしまった眼窩隔膜と飛び出した余分な眼窩脂肪を一体型で移動します。この伸びてしまい緩んだ膜をピーンと張るように引き伸ばしてあげるのが当院での裏ハムラ法になります。
伸びて緩んだ眼窩隔膜をを元の状態(若かりし頃)のように戻し、リセットすることで再発の防止効果となっているのと考えられます。再発は眼窩隔膜が再び緩んで目の上から眼窩脂肪が滑り落ちてくるための眼窩隔膜で蓋をするようなイメージで補強します。蓋をされたところからは眼窩脂肪は飛び出すことができず上方に押し戻されます。これが目の上の凹みであるくぼみ目が改善することに繋がっているのではないかと考えられます。
*眼窩隔膜を破って脂肪だけを移動させる施設もあるようですが、当院では眼窩隔膜+眼窩脂肪一体型での移動を行っています。当院で行っている眼窩隔膜+眼窩脂肪一体型移動によって眼窩は蓋をされて眼窩脂肪の行き場はなくなるので、目の上の凹みが改善するというのが原理であると考えています。
*文章であるとくどくどしいので、時間がある時に図示をしながら説明できればと思います。
補足:
上まぶたのくぼみを改善したい場合は、通常は下記の治療を選択肢と挙げられます。
ヒアルロン酸注入
脂肪注入(マイクロCRFなど)
眼窩脂肪移植
上まぶたの皮膚・脂肪調整手術
これらに当院では裏ハムラ法を追加検討して頂いております。
| 性別 | 女性 |
|---|---|
| 年齢 | 40代 |
| 撮影時期 | 術後3ヶ月 |
| 施術ドクター | 三沢 尚弘 |
| 性別 | 女性 | 年齢 | 40代 |
|---|---|---|---|
| 撮影時期 | 術後3ヶ月 | 施術ドクター | 三沢 尚弘 |
| 施術概要 | 裏ハムラ(経結膜的眼窩脂肪移動術) |
|---|---|
| 施術費用 | ¥
550,000 (税込)
|
| 合併症リスク | 出血、感染、術後瘢痕問題(ケロイド、肥厚性瘢痕などの発生)、麻酔・薬剤によるアレルギー・アナフィラキシーショック、ドライアイ、一過性の視力低下、顔貌の変化、二重の左右差、まぶたの皮膚知覚障害、糸が露出する、目の中のゴロゴロ感、皮膚色素沈着、皮膚の表面の凸凹、頭痛、吐き気、その他再発など、下眼瞼外反症、睫毛内反症、目の下のつっぱり感、仕上がりの左右差 |

この施術に関する情報


形成・美容外科
エムズクリニック 院長
形成外科専門医・救急科専門医
医学部を卒業後、日本屈指の研修施設病院である亀田総合病院で卒後研修を開始。医療の原点となる救命救急センターに8年間従事。
その後、米国臨床留学の登竜門である米国海軍病院に1年間勤務。医師として、そして外科医としてのトレーニングを研鑽し医療の礎を築き、平成28年6月に横浜市鶴見に『形成・美容外科 エムズクリニック』を開院

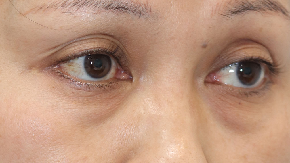
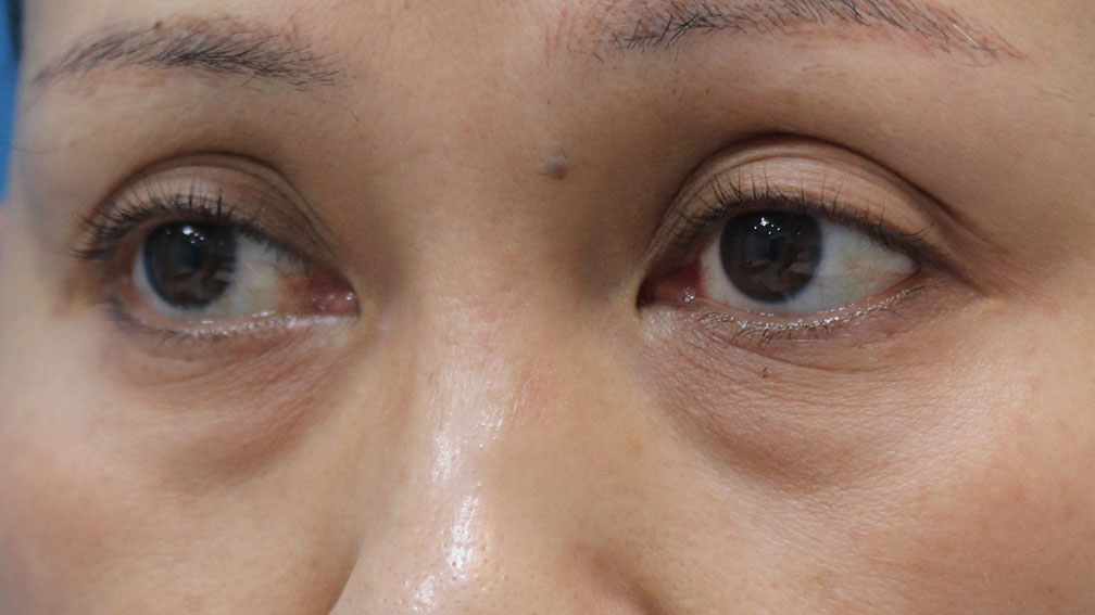
目の上がくぼみ目の方には脱脂術は行ってはいけません。くぼみ目のある方には裏ハムラを行います。裏ハムラ法おこなうことで目の下のクマだけでなく、くぼみ目が改善したケースをご紹介します。























担当医からのコメント
裏ハムラ法(経結膜下ハムラ法)は、主に 下まぶたの目の下のクマ(膨らみや凹み) を改善する施術です。まぶたの裏側(結膜側)から脂肪を移動させて、下まぶたの段差や影をなめらかにします。そのため、「上まぶたの凹み」に直接的な効果は期待できないとものと思われていますが、当院では目の上がくぼんでいる=くぼみ目の方に裏ハムラ法を行うことで目の下のクマも当然のことながら、目の上のくぼみも同時に改善する多くの症例を経験しています。今回はその中の一例をご紹介したいと思います。
くぼみ目(目の上)も目の下のクマも関係しているのは下図の黄色点線で囲った眼窩脂肪です。年齢とともに眼窩脂肪は移動します(*詳しくは下記にて)。これを『眼窩脂肪の偏在』と言います。

眼窩脂肪の偏在とは、老化・加齢によって目の上の眼窩脂肪が下に移るようなイメージです。
*実際移ったわけではありませんが、移動したと思って差し支えないです。
眼窩脂肪が年齢とともに重力に従って眼球の上方から下へ滑り落ちる(=下がった、スライディングした)のでその結果として目の上は凹み、逆に目の下は膨らみます。
眼窩脂肪は体重の増減で多少は影響しますが、それほど極端には変わりません。生まれつき多い人もいれば、少ない人もいます。
眼窩脂肪を安易に取ることはお勧めできません。眼窩脂肪が理由があってそこに存在するわけです。主な理由としてはケガなどの外的な力から眼球を守るクッション的な役割を担っています。
眼窩脂肪によって目の下が膨らんでいると『歳を感じる』『怖い顔』『疲れてそう』などマイナスイメージを与えます。それを改善することは美容外科医の立場からしても全く否定はしませんし、むしろ肯定派の立場です。
しかしながら、機能的にも意味のある眼窩脂肪を安易に取ってしまう(脱脂術)はお勧めすることはできません。
脱脂術によって眼窩脂肪の量は減らすことができます。これは確かです。あるものと取れば少なくなる=無くなります。しかし、人間にあるもので一度取ったものを元通りに戻すことはできません。取りすぎてしまったり、取り残してしまったりすることもあります。
脱脂術はその人の眼窩脂肪をどれだけの量を取れば良いのか明確な基準がありません(おそらく、外科医全員に聞いても明確な判断基準はないでしょう。)。取りすぎないように安全に取る場合にしても『出てる分取れば良い』ということですが、その出た分というのは何を持って出ているのか?を術前に評価することはできず、他の治療に比べて非常に感覚的なものです。
*また、靭帯処理(orbital retaining ligament)などは行っていたないため再発や目の下の凹みであるTear Trough Defomityなどは改善しません。
脱脂術では今回の事例のように目の上が凹んだ人=くぼみ目の方には行わない方が良いです。前述した眼窩脂肪についての説明を理解していただければ容易です。目の上が相対的に少ないのに目の下にある脂肪を取ってしまえば絶対量が不足するのでさらに目の上が凹むからです。
一度取られて凹んでしまった眼窩脂肪は元に戻すことはできません。ですから、目の上が凹んだ人(くぼみ目)の方に脱脂術をすることは基本やってはいけないのです。
これまでくぼみ目の方に脱脂術をしてはいけない理由はお分かりになったと思います。
今回の本題である『裏ハムラでくぼみ目がなぜ治る?』に関して説明したいと思います。
裏ハムラ法は脱脂術とは異なる方法です。

目の上から目の下に移動した眼窩脂肪が飛び出て目の下のクマ(膨らみ)を形成しています。また、靱帯(Orbital Retaining Ligament)によってそれ以上は下に移動することができないので、靱帯部分で垂れ下がるようにクマが存在します。この靱帯(Orbital Retaining Ligament)を切離して、その下に脂肪を再配置させるのがハムラ法における基本コンセプトです。
眼窩脂肪は眼窩隔膜という膜に包まれています(ある程度しっかりとした膜です。)。眼窩脂肪が飛び出てくると一緒に脂肪を包んでいる袋である眼窩隔膜も伸びきってしまいます。当院での裏ハムラ法はこの伸びてしまった眼窩隔膜と飛び出した余分な眼窩脂肪を一体型で移動します。この伸びてしまい緩んだ膜をピーンと張るように引き伸ばしてあげるのが当院での裏ハムラ法になります。
伸びて緩んだ眼窩隔膜をを元の状態(若かりし頃)のように戻し、リセットすることで再発の防止効果となっているのと考えられます。再発は眼窩隔膜が再び緩んで目の上から眼窩脂肪が滑り落ちてくるための眼窩隔膜で蓋をするようなイメージで補強します。蓋をされたところからは眼窩脂肪は飛び出すことができず上方に押し戻されます。これが目の上の凹みであるくぼみ目が改善することに繋がっているのではないかと考えられます。
*眼窩隔膜を破って脂肪だけを移動させる施設もあるようですが、当院では眼窩隔膜+眼窩脂肪一体型での移動を行っています。当院で行っている眼窩隔膜+眼窩脂肪一体型移動によって眼窩は蓋をされて眼窩脂肪の行き場はなくなるので、目の上の凹みが改善するというのが原理であると考えています。
*文章であるとくどくどしいので、時間がある時に図示をしながら説明できればと思います。
補足:
上まぶたのくぼみを改善したい場合は、通常は下記の治療を選択肢と挙げられます。
ヒアルロン酸注入
脂肪注入(マイクロCRFなど)
眼窩脂肪移植
上まぶたの皮膚・脂肪調整手術
これらに当院では裏ハムラ法を追加検討して頂いております。
| 性別 | 女性 |
|---|---|
| 年齢 | 40代 |
| 撮影時期 | 術後3ヶ月 |
| 施術ドクター | 三沢 尚弘 |
| 性別 | 女性 | 年齢 | 40代 |
|---|---|---|---|
| 撮影時期 | 術後3ヶ月 | 施術ドクター | 三沢 尚弘 |
| 施術概要 | 裏ハムラ(経結膜的眼窩脂肪移動術) |
|---|---|
| 施術費用 | ¥
550,000 (税込)
|
| 副作用リスク | 出血、感染、術後瘢痕問題(ケロイド、肥厚性瘢痕などの発生)、麻酔・薬剤によるアレルギー・アナフィラキシーショック、ドライアイ、一過性の視力低下、顔貌の変化、二重の左右差、まぶたの皮膚知覚障害、糸が露出する、目の中のゴロゴロ感、皮膚色素沈着、皮膚の表面の凸凹、頭痛、吐き気、その他再発など、下眼瞼外反症、睫毛内反症、目の下のつっぱり感、仕上がりの左右差 |

この施術に関する情報


形成・美容外科
エムズクリニック 院長
形成外科専門医・救急科専門医
医学部を卒業後、日本屈指の研修施設病院である亀田総合病院で卒後研修を開始。医療の原点となる救命救急センターに8年間従事。
その後、米国臨床留学の登竜門である米国海軍病院に1年間勤務。医師として、そして外科医としてのトレーニングを研鑽し医療の礎を築き、平成28年6月に横浜市鶴見に『形成・美容外科 エムズクリニック』を開院
目の上がくぼみ目の方には脱脂術は行ってはいけません。くぼみ目のある方には裏ハムラを行います。裏ハムラ法おこなうことで目の下のクマだけでなく、くぼみ目が改善したケースをご紹介します。