















担当医からのコメント
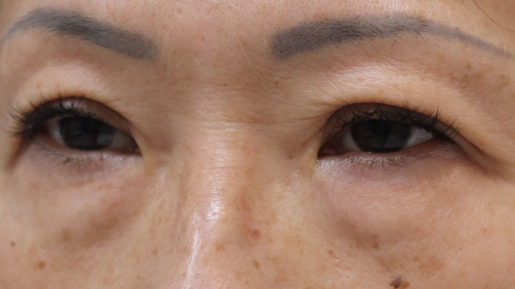
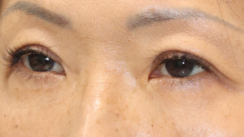
裏ハムラ=経結膜的眼窩脂肪移動術ですが、最適症例は①眼窩脂肪による膨らみがある、②ティアトラフ靱帯がある、③年齢が30~40代・・・が一般的かと思われます。ですから、皮膚余り、眼輪筋のタルミなどがある50代以降は裏ハムラではなく表ハムラ(経皮的眼窩脂肪移動術)を勧めることがありました。しかし、表ハムラ(皮膚側を切る方法)を積極的に望まれる方は少数派です。今回の方もその少数派ではない方でした。とにかく、膨らみ(=眼窩脂肪の膨らみ)が気になるから何とかしてほしいということでした。皮膚の緊張や眼輪筋の弛みはそれほどない方でしたので裏ハムラ法を行いました。当院では眼窩脂肪の移動だけではなく、ティアトラフ靱帯解除、および眼窩隔膜によるオーバーラップタイトニングで再発を予防しております。眼窩脂肪の膨らみはなくなり、ティアトラフと呼ばれる目の下の線は消えてなくなりました。ティアトラフ靱帯を解除すればダウンタイムとして術後1~3日の腫れはあります。これはしっかりと靱帯解除を行っている証だと考えています。
| 性別 | 女性 |
|---|---|
| 年齢 | 50代 |
| 撮影時期 | 術後3ヶ月 |
| 施術ドクター | 三沢 尚弘 |
| 性別 | 女性 | 年齢 | 50代 |
|---|---|---|---|
| 撮影時期 | 術後3ヶ月 | 施術ドクター | 三沢 尚弘 |
| 施術概要 | 裏ハムラ(経結膜的眼窩脂肪移動術) |
|---|---|
| 施術費用 | ¥
550,000 (税込) (税込)
|
| 合併症リスク | 出血、感染、術後瘢痕問題(ケロイド、肥厚性瘢痕などの発生)、麻酔・薬剤によるアレルギー・アナフィラキシーショック、ドライアイ、一過性の視力低下、顔貌の変化、二重の左右差、まぶたの皮膚知覚障害、糸が露出する、目の中のゴロゴロ感、皮膚色素沈着、皮膚の表面の凸凹、頭痛、吐き気、その他再発など、下眼瞼外反症、睫毛内反症、目の下のつっぱり感、仕上がりの左右差 |

この施術に関する情報


形成・美容外科
エムズクリニック 院長
形成外科専門医・救急科専門医
医学部を卒業後、日本屈指の研修施設病院である亀田総合病院で卒後研修を開始。医療の原点となる救命救急センターに8年間従事。
その後、米国臨床留学の登竜門である米国海軍病院に1年間勤務。医師として、そして外科医としてのトレーニングを研鑽し医療の礎を築き、平成28年6月に横浜市鶴見に『形成・美容外科 エムズクリニック』を開院

50代後半の方の裏ハムラ法の経過を紹介します。最近、50代の方のご要望が多くあります。















担当医からのコメント
裏ハムラ=経結膜的眼窩脂肪移動術ですが、最適症例は①眼窩脂肪による膨らみがある、②ティアトラフ靱帯がある、③年齢が30~40代・・・が一般的かと思われます。ですから、皮膚余り、眼輪筋のタルミなどがある50代以降は裏ハムラではなく表ハムラ(経皮的眼窩脂肪移動術)を勧めることがありました。しかし、表ハムラ(皮膚側を切る方法)を積極的に望まれる方は少数派です。今回の方もその少数派ではない方でした。とにかく、膨らみ(=眼窩脂肪の膨らみ)が気になるから何とかしてほしいということでした。皮膚の緊張や眼輪筋の弛みはそれほどない方でしたので裏ハムラ法を行いました。当院では眼窩脂肪の移動だけではなく、ティアトラフ靱帯解除、および眼窩隔膜によるオーバーラップタイトニングで再発を予防しております。眼窩脂肪の膨らみはなくなり、ティアトラフと呼ばれる目の下の線は消えてなくなりました。ティアトラフ靱帯を解除すればダウンタイムとして術後1~3日の腫れはあります。これはしっかりと靱帯解除を行っている証だと考えています。
| 性別 | 女性 |
|---|---|
| 年齢 | 50代 |
| 撮影時期 | 術後3ヶ月 |
| 施術ドクター | 三沢 尚弘 |
| 性別 | 女性 | 年齢 | 50代 |
|---|---|---|---|
| 撮影時期 | 術後3ヶ月 | 施術ドクター | 三沢 尚弘 |
| 施術概要 | 裏ハムラ(経結膜的眼窩脂肪移動術) |
|---|---|
| 施術費用 | ¥
550,000 (税込) (税込)
|
| 副作用リスク | 出血、感染、術後瘢痕問題(ケロイド、肥厚性瘢痕などの発生)、麻酔・薬剤によるアレルギー・アナフィラキシーショック、ドライアイ、一過性の視力低下、顔貌の変化、二重の左右差、まぶたの皮膚知覚障害、糸が露出する、目の中のゴロゴロ感、皮膚色素沈着、皮膚の表面の凸凹、頭痛、吐き気、その他再発など、下眼瞼外反症、睫毛内反症、目の下のつっぱり感、仕上がりの左右差 |

この施術に関する情報


形成・美容外科
エムズクリニック 院長
形成外科専門医・救急科専門医
医学部を卒業後、日本屈指の研修施設病院である亀田総合病院で卒後研修を開始。医療の原点となる救命救急センターに8年間従事。
その後、米国臨床留学の登竜門である米国海軍病院に1年間勤務。医師として、そして外科医としてのトレーニングを研鑽し医療の礎を築き、平成28年6月に横浜市鶴見に『形成・美容外科 エムズクリニック』を開院
50代後半の方の裏ハムラ法の経過を紹介します。最近、50代の方のご要望が多くあります。