Before/施術前
After/施術後
Before/施術前
After/施術後

この施術に関して
大きな脂肪腫、それも頭部にできたものでした。ヘルメットを被るお仕事なのでヘルメットを被っても窮屈だということでした。結果的には12cmも超える脂肪腫で厚みもあるのでヘルメットを被ればサイズも小さくなりますので、窮屈になるのは当然です。。。
脂肪腫は皮下の脂肪細胞が増殖してできた『脂肪の塊』です。年月をかけて確実に大きくなっていく腫瘍です。ほとんど場合は良性ですが、稀に悪性化することもあります。
また症状を伴うこともないので放置してしまう傾向にあります。脂肪腫の種類によって症状;痛みを伴う場合のもの=血管筋脂肪腫などでは触れると痛いなどがあります。またこの血管筋脂肪腫の場合には多発することがあります。
いずれにしても、『脂肪腫』の治療原則はできたら小さいうちに早めに取るということです。大きくなってからでは、その大きなものを取り出す傷口も必然的に大きくなるし、負担も大きくなります。早めの受診を心がけください。
術後の経過
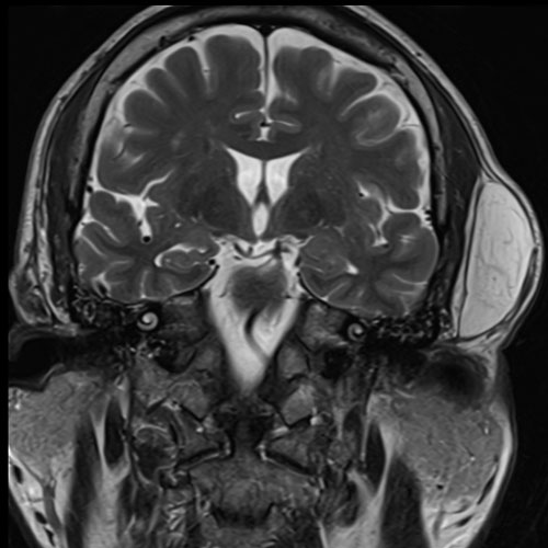
手術前(MRI)
MRIを取ると、明らかに大きな脂肪腫を認めます。
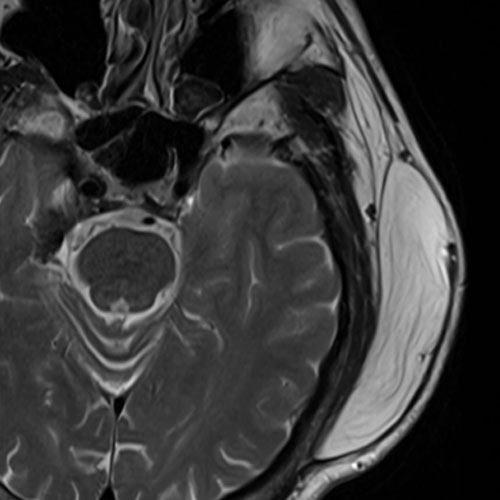
手術前(MRI)
頭の横には大事な血管:浅側頭動脈などがあるので、こちらを注意しなければいけません。
手術前
マーキングをすると、頭の前方生え際から耳の後ろまで広がる大きな脂肪腫でした。
手術前
直線で切開すると傷跡が目立つことがあるので、ジグザクで切開します。ジグザクで切開すると創部が展開しやすい。
術中所見①
脂肪腫を丸ごと完全に取り出し、その下にはドレーンと言って管を挿入留置します。
術中所見②
摘出した脂肪腫はかなり大きく12cmを超えるものでした。
術後1週間
術後1週間で抜糸を行います。
術後1ヶ月
術後1ヶ月で髪も生えてくると傷跡は目立ちません。このケースの場合、禿髪といって髪が抜け落ちる現象は起きませんでした。*禿髪があっても6ヶ月〜1年で改善してくることが多いです。




左側頭部にできた大きな脂肪腫。長年放置することでここまで大きく育ちます。脂肪腫はお早めに取ることをお勧めします。