
「もう少し目を大きく見せたい」「目元をはっきりさせたい」「写真を撮ると目が離れて見えるのが気になる」——こうした悩みから、目元整形の選択肢として目頭切開に注目する方は多いです。特に10〜40代の女性は、就職・転職・結婚・出産・マスク生活からの変化など、ライフイベントをきっかけに「自分の顔立ちを整えたい」と考える機会が増えやすい時期でもあります。
ただ、目頭切開は「少し切るだけ」と軽く見られがちな一方で、顔の中心部=印象を決めるポイントに手を入れる施術です。適応がある方が適切なデザインで受けると、自然な範囲で目元が洗練され、満足度が高くなりやすいです。反対に、向いていない方が勢いで受けてしまうと「やりすぎた」「不自然になった」「想像より目が近く見える」など、後悔につながる可能性があります。
だからこそ大切なのは、施術の可否を「流行」や「症例の雰囲気」だけで決めず、仕組み・適応・メリットとデメリット・他施術との相性を理解してから判断することです。この記事を読み終えたときに、目頭切開で後悔しないための事前知識をしっかり持って施術を受けたいと思えるよう、分かりやすく整理して解説していきます。
なぜ目頭切開手術をする?目頭切開の仕組み

目頭切開とは?
目頭に覆いかぶさっている蒙古ひだ(もうこひだ)を切開・調整し、目の内側(目頭側)の露出を増やして目の横幅を広げる手術です。
蒙古ひだが発達していると、次のような見え方になりやすいです。
- 目頭が皮膚で隠れて、目が小さく見える
- 目と目の間が広く見える
- 二重ラインが目頭側で途切れたように見える
- 目元が幼く、やわらかい印象になりやすい
目頭切開には複数の術式(代表的にはZ形成・W形成など)があり、皮膚の切開線の置き方や戻り(後戻り)を抑える設計が異なります。結果を左右するのは「術式名」よりも、以下のような医師のデザイン力と経験です。
- どの程度開くのか(切開量)
- どこまで開けば美しいのか(デザイン)
- 傷跡が目立ちにくい位置に置けるか
目頭切開は、白目や黒目そのものを増やすわけではありません。言い換えると、もともとある目の形のうち「隠れている部分」を見せる調整です。そのため、過度にやりすぎず、骨格や顔全体のバランスと合った範囲で行うと、自然に垢抜けた印象を作りやすい施術です。
目頭切開が向いている人の特徴とは?

目頭切開で満足しやすいのは、次の特徴がある方です。
- 蒙古ひだがしっかり発達しており、目頭が皮膚で覆われている
- 正面から見たとき、目と目の距離が広く見えるのが気になる
- 二重整形をしても、目頭側の二重ラインが出にくい/途中で消える
- 「派手に変えたい」よりも、自然に洗練された印象を求めている
- 目頭の皮膚の被さりが原因で、目の横幅が狭く見えている
こうした方は、目頭切開によって目の横幅が自然に広がり、以下のような変化が出やすい傾向があります。
- 目元がすっきりする
- アイラインが引きやすくなる
- 二重のデザインが完成しやすくなる
左右で蒙古ひだの強さが違う方は、左右差の調整目的で検討されることもあります。ただし、左右差は目頭だけが原因ではない(眉・骨格・眼瞼下垂の程度・眼球の位置など)ことも多いため、自己判断ではなく診察が重要です。
目頭切開が向いてない人の特徴とは?

反対に、慎重に検討したいのは次のようなケースです。
- もともと蒙古ひだが薄く、目頭が十分に見えている
- 目と目の距離が近いのに、さらに寄せたい
- 「とにかく変化量が欲しい」など、強い変化を優先している
- 傷跡が少しでも残ることに抵抗が強い(ダウンタイムが許容できない)
- 周囲に気づかれたくない気持ちが非常に強い(心理的負担が大きい)
目頭切開は、目元の中心に変化が出るため、適応がない方が行うと以下のような違和感が出やすくなります。
- 不自然に目が近く見える
- 目頭の形が尖って見える
- きつい印象に寄りすぎる
「SNSの症例と同じ目になりたい」という動機は、後悔につながりやすいので要注意です。骨格・目の開き・蒙古ひだの強さが違えば、同じ施術でも見え方は変わります。理想像は持ちつつも、最終的には自分の顔全体のバランスに合うかで判断することが大切です。
目頭切開のメリット

目頭切開のメリットは、次のように整理できます。
- 目の横幅が広がり、目が大きく見えやすい
- 目元がはっきりして、垢抜けた印象になりやすい
- 二重整形の効果を引き出し、二重ラインが目頭までつながりやすい
- メイクが映える(アイライン・シャドウの自由度が増す)
- 効果が半永久的で、後戻りしにくい
「二重幅を無理に広げずに目を大きく見せたい」「ナチュラルに洗練させたい」という方には、適応が合えば非常に良い選択肢になります。
目頭切開のデメリット

一方で、デメリットも現実的に理解しておく必要があります。
- ミリ単位で仕上がりが変わるため、やりすぎると不自然になりやすい
- 傷跡が完全にゼロにはならない(体質で赤みが長引くこともある)
- 修正が簡単ではない(戻す治療は限界がある)
- ダウンタイム中は腫れ・赤み・硬さが出る
- 医師の技術差が出やすい(デザイン力が結果を左右する)
目頭切開で後悔しないためには「施術を受けるかどうか」だけでなく、どの程度開くのか、自分の顔に合うデザインか、信頼できる医師かどうかを事前に詰めることが不可欠です。
自分が目頭切開に向いているかセルフチェック

目頭切開の向き不向きは「蒙古ひだの強さ」と「目と目の距離(バランス)」が大きく関係します。ここでは、カウンセリング前に整理できるよう、セルフチェックについて解説します。
- 鏡で分かる「蒙古ひだ」チェック
鏡の前で正面から顔を見て、次を確認してください。
* 目頭のピンクの部分(涙丘=るいきゅう)がほとんど見えない
* 目頭が皮膚で被さり、目の内側が丸く隠れている
* 目頭側のアイラインが描きにくい/にじみやすい
当てはまるほど、蒙古ひだが強い可能性があり、目頭切開の適応になりやすいです。
- 「目と目の距離」チェック(簡易)
自分の目の距離は、見た目の印象に大きく影響します。簡易的には、
* 目と目の間(目頭〜目頭)が、片目の横幅より広く見える
* 正面写真で、目元が離れて見えると感じる
このような場合、目頭切開でバランスが取りやすい傾向があります。
反対に、
* もともと目が寄って見える
* 目と目の間が狭い
場合は、目頭切開で寄り感が強く出る可能性があるため慎重に判断します。
- 「二重整形との相性」チェック
二重整形を検討中・またはすでに受けた方は、次をチェックしましょう。
* 二重ラインが目頭側で消える/薄い
* 目頭側が被さって、二重幅を広げても効果が出にくい
この場合は、目頭切開を併用することで二重デザインが完成しやすくなることがあります。
- 「理想の方向性」チェック(ここが重要)
目頭切開は、向いている方でも「理想像」がズレると後悔しやすいです。
* 自然に垢抜けたい(ナチュラル寄り)→相性が良い
* とにかく派手に変えたい(変化量最優先)→やりすぎリスクが上がる
理想が「自然」か「強め」かを自分の中で言語化しておくと、カウンセリングでのすり合わせがスムーズになります。
- セルフチェックまとめ(当てはまるほど検討価値あり)
* 蒙古ひだが強い(涙丘が見えにくい)
* 目と目の距離が広く見える
* 二重ラインが目頭側で出にくい
* ナチュラルに洗練された目元を目指したい
最終判断は医師の診察が必須です。写真だけでは分からない「目の開き」「眼瞼下垂の有無」「骨格バランス」が関係するため、シミュレーションで確認しましょう。
おすすめの組み合わせ施術 目頭切開との併用

目頭切開は単独よりも「不足している要素」を他の施術で補うと、完成度が上がることがあります。ここでは、併用の目的と向いているケースをご紹介します。
| 施術名 |
内容 |
| 二重整形(埋没法・切開法) |
目的:二重ラインの完成度を上げる/目元の印象を整える
目頭切開と最も相性が良い組み合わせです。蒙古ひだが強い方は、二重整形だけでは目頭側のラインが隠れてしまい、
* 二重が末広っぽく見える
* 目頭側のラインが途切れる
ことがあります。
この場合、目頭切開で被さりを減らすと、二重ラインが目頭まで自然につながり、完成度が上がりやすいです。
向いているケース
* 埋没をしたが、目頭側が思ったほど変わらない
* これから二重整形をするが、蒙古ひだが強いと言われた
* 平行型二重に憧れるが、蒙古ひだが邪魔している
※ただし、二重幅を広げすぎると不自然になることもあるため、「目頭切開+控えめな二重幅」で自然に仕上げる設計が重要です。 |
| 目尻切開(必要な人は限定的) |
目的:目の横幅をさらに出す/つり目感をやわらげる
「横幅を広げたい」という点では目頭切開と同じ方向ですが、目尻切開は適応が限られます。目尻側は後戻りや粘膜の露出などの問題もあり、誰にでもおすすめできる施術ではありません。
向いているケース
* 目尻側が短く、横幅が出にくい
* つり目感を少し和らげたい
* 医師の診察で目尻切開のメリットが大きいと判断された
目頭切開だけで十分な横幅が出る方も多いため、「必要性があるか」を慎重に見極めるのがポイントです。 |
| たれ目形成(グラマラスライン) |
目的:優しい印象に寄せる/目の縦幅を強調する
目頭切開で目元がはっきりすると、場合によっては「きつく見える」と感じる方もいます。そうしたときに、たれ目形成で印象をやわらげる設計をすることがあります。
向いているケース
* 目元を大きくしたいが、きつい印象は避けたい
* 目の下のラインを下げて、優しい目元にしたい
* 全体のバランスを「可愛い系」に寄せたい
ただし、下まぶたの手術は違和感・後戻り・ドライアイなどのリスクもあるため、適応とデザインのすり合わせが重要です。 |
| 眼瞼下垂手術(または軽度の開き改善) |
目的:黒目の露出を増やし、目の“開き”を良くする
実は「目が小さい」と感じる原因が、蒙古ひだではなくまぶたの開きの弱さ(軽度眼瞼下垂)であることもあります。
この場合、目頭切開だけをしても「思ったほど大きくならない」と感じやすいです。黒目の見える面積が増えると、目の印象は大きく変わるため、必要なら眼瞼下垂の評価を受ける価値があります。
向いているケース
* 眠そう・重たい印象と言われる
* 写真で黒目があまり見えていない
* 眉を上げて目を開ける癖がある
* 二重幅が不安定、左右差が出やすい |
| 鼻筋(鼻プロテーゼ・ヒアルロン酸等)とのバランス調整 |
目的:顔の中心バランスを整える
目頭切開は顔の中心に変化が出るため、鼻根部(鼻の付け根)とのバランスが重要です。美容医療では、顔全体の中心ラインを整える目的で鼻施術が検討されることもありますが、優先度は人によります。
「目元だけが浮いて見えるのが不安」という方は、顔全体のバランス提案ができるクリニックで相談すると安心です。 |
組み合わせ施術のまとめ
* 横幅を出したい:目頭切開+(必要なら)目尻切開
* 二重を完成させたい:目頭切開+二重整形
* 優しい目元に寄せたい:目頭切開+たれ目形成(適応があれば)
* 黒目の露出を増やしたい:目頭切開+眼瞼下垂評価(必要なら手術)
Dr.三沢
「全部やれば理想に近づく」ではなく、自分に必要な要素だけを選ぶことが、自然で後悔の少ない仕上がりにつながります。
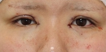
施術事例【20代/女性 二重全切開+挙筋前転+脂肪除去と目頭切開の組み合わせ施術】

非常に難易度の高い目元の形態です。蒙古ひだが厚く発達しており、二重のラインが形成されにくい状態でした。また、内側の皮膚(=蒙古ひだ)が抵抗となり、目の開きにも影響を及ぼしていました。
目頭切開を十分に行ったうえで、二重全切開ラインから挙筋前転を行い、必要な脂肪除去を施しています。
※ROOF切除は行っておりません。
経過

手術直後は、上記程度の腫れが見られます。
Dr.三沢
治療前は、全体的に重たい印象のまぶたでしたが、1か月ほど経過すると、腫れもほぼ落ち着き、自然な状態になりました。
よくあるご質問
向いていない人が目頭切開をした場合、どうなりますか?リスクはありますか?
目頭切開が適していない方が施術を受けると、目頭が開きすぎて不自然に見えたり、左右差が目立ったりすることがあります。また、傷跡の赤みや硬さが残る、目元の印象が強くなりすぎるといったリスクも考えられます。事前に適応を見極めることが重要です。
理想の目元にするために二重形成と同時に施術した方が良いですか?別の日が良いですか?
目元全体のバランスを一度に整えたい場合は、二重形成と同時に行うことが多いです。一方、変化を段階的に確認したい方や腫れを最小限にしたい方は、別日に分ける選択もあります。どちらが適しているかは目元の状態や希望によって異なります。
目頭切開が向いているか判断が難しい時、カウンセリングは無料ですか?
多くの医療機関では、目頭切開が適しているかを判断するためのカウンセリングを無料で行っています。シミュレーションや症例写真を見ながら説明を受けられるため、不安や疑問は事前に相談すると安心です。
目頭切開後、後戻りすることはありますか?
基本的に一度切開した部分が完全に元に戻ることはありません。ただし、体質や術式によっては傷の収縮により、効果がやや弱く感じられることがあります。適切な術式選択とアフターケアが大切です。
手術後、視力とは関係しますか?
目頭切開は皮膚や粘膜を調整する手術であり、眼球自体には触れないため、視力に直接影響することはほとんどありません。術後に一時的な腫れや違和感を感じることはありますが、通常は時間とともに落ち着きます。
まとめ
- 目頭切開は、蒙古ひだが強く目頭が隠れている方や、目と目の距離が広く見える方にとって、自然に垢抜けた印象を作りやすい施術です。一方で、もともと目が寄っている方や蒙古ひだが薄い方は、無理に行うと不自然になりやすく、後悔につながる可能性があります。
- そして、目頭切開で満足度を高めるには、、自分の蒙古ひだ・目の距離・目の開きをセルフチェックで把握する、必要なら二重整形や眼瞼下垂評価など、適切な併用を検討する、「どれくらい開くか」を医師と丁寧にすり合わせることです。
- 流行や他人の症例だけで決めるのではなく、自分の顔立ちに合うデザインを見極め、十分な事前知識を持ったうえで施術に臨みましょう。そうすることで、目頭切開を「やってよかった」と思える結果に近づきます。目頭切開で後悔しないためにも、事前知識をしっかり持って施術を受けたいものです。