【触ると痛いほくろは危険?】原因と赤みの症状・何科を受診すべきか ふとした瞬間に「昔からあるほくろが、触ると少し痛い」「鏡を見たらほくろの周りが赤くなっている」と気づき、不安を感じたことはありませんか? ほくろは多くの場合、医学的には「母斑細胞母斑(ぼはんさいぼうぼはん)」と呼ばれる良 […] 2026/04/17
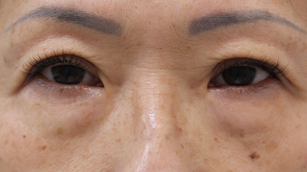
【男性の目袋・目の下のたるみ対策】主な原因と治療法 「最近、鏡を見るたびに疲れて見える」「実年齢よりも老けて見られることが増えた」と感じる男性は少なくありません。その大きな要因となっているのが、目の下に現れる「目袋」や「たるみ」です。 目の下は顔の中でも皮膚が非常に薄く、 […] 2026/04/16
【ほくろ除去後のダウンタイム】レーザー治療後... 「顔にあるこのほくろがなければ、もっと自分に自信が持てるのに……」 そう思いつつも、いざ治療となると「術後の赤みは目立つの?」「仕事はいつから行ける?」といった、術後の経過(ダウンタイム)への不安が拭いきれず、一歩踏み出 […] 2026/04/09