
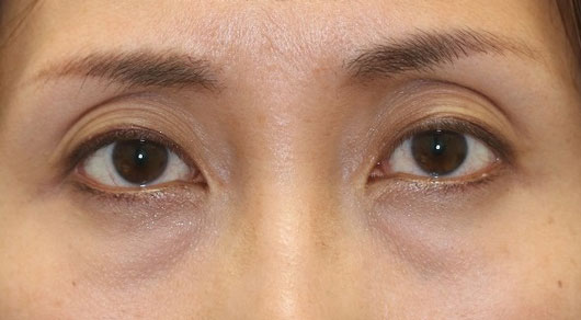
年齢を重ねるとともに「目の上がくぼんで老けて見える」「アイメイクが映えなくなった」と感じる方が増えます。
実際、まぶたは顔の中でも皮膚が最も薄く、皮下脂肪も少ない部分。そのため加齢や生活習慣の影響を受けやすく、わずかな変化でも“疲れた印象”が強く出てしまいます。
上まぶたのくぼみ(くぼみ目)は、目元のボリュームが減少して影ができることで老けた印象を与えるだけでなく、目が小さく見える、二重のラインが不安定になるなど、美容的にも大きな影響を及ぼします。
「スキンケアで何とかなる」と思っていても、くぼみ目の原因は皮膚表面ではなく、まぶた内部の脂肪・筋肉・骨格の変化にあります。そのため、本質的な改善には医療的アプローチが必要です。
特に注目されているのが「裏ハムラ法(経結膜的眼窩脂肪移動術)」です。
この施術はもともと“目の下のクマ治療”として知られていますが、実は「目の上のくぼみ」にも好影響をもたらすことが確認されています。
今回は、くぼみ目の原因から最新の治療法まで、そしてわかりやすく解説します。
目の上のくぼみがあるくぼみ目とは?主な原因

「くぼみ目」とは?
上まぶたがへこんで目の上に影ができる状態を指します。
女性に多い悩みのひとつで、特に30代後半〜60代にかけて急激に目立つようになります。
【主な原因】
- 1. 加齢による眼窩脂肪(がんかしぼう)の減少
まぶたの奥にある脂肪(眼窩脂肪)は、目のボリュームを支えるクッションのような役割を果たしています。
加齢によりこの脂肪が減少または下垂すると、上まぶたがへこみ、骨の輪郭が浮き出て見えるようになります。
- 2. 眼瞼挙筋(がんけんきょきん)の衰え
まぶたを持ち上げる筋肉が衰えると、上まぶた全体が下がり、目が開きにくくなります。これにより“くぼみ”がさらに強調されることもあります。
- 3. 皮膚の弾力低下・コラーゲンの減少
加齢や紫外線ダメージで皮膚のハリが失われると、まぶたの皮膚が伸びてしまい、くぼみが目立ちやすくなります。
- 4. 骨格・体質による影響
もともと眼窩(目の周囲の骨のくぼみ)が深い「彫りの深いタイプ」の方は、若い頃からくぼみ目傾向があります。
- 5. 過度なダイエットや睡眠不足
急激な体重減少や生活リズムの乱れによる栄養不足も、脂肪の減少や筋力低下を引き起こします。
- 6. コンタクトレンズの長期使用
長年の使用で上まぶたの筋肉が慢性的に引っ張られ、筋膜の緩みや眼瞼下垂が起こるケースもあります。
こうした複合的な要因が積み重なり、上まぶたがくぼみ、目の印象が暗く・疲れて見えるようになります。
目のくぼみをセルフケア(自力)で治すことはできる?

結論から言うと、「自力で完全に治すことは難しい」です。
しかし、悪化を防いだり、軽度のくぼみを一時的に改善する方法は存在します。
【セルフケアの例】
- 1. 血行を促す温熱ケア
蒸しタオルを1日5分ほどまぶたに当てると、目の周囲の血流が改善し、むくみやくすみが軽減されます。
- 2. 保湿ケア
ヒアルロン酸やセラミドを含むアイクリームで保湿することで、皮膚のハリを保ちやすくなります。
- 3. 目元の筋肉トレーニング
眉毛を上げる・まばたきを意識的に増やすなど、眼輪筋や前頭筋を動かすことで筋力低下を防ぎます。
- 4. 生活習慣の改善
睡眠不足・ストレス・糖質過多などは肌の弾力を低下させます。バランスの取れた生活が基礎的な予防になります。
ただし、これらは「根本的なボリューム回復」ではなく“見た目を整える一時的ケア”に過ぎません。加齢で減少した脂肪や緩んだ皮膚を戻すには、医療的処置が不可欠です。
クリニックでくぼみ目を改善させる治療法
医療機関では、くぼみ目の原因に応じて複数のアプローチが可能です。
ここでは代表的な4つの治療法を比較しながら、紹介します。
ヒアルロン酸注入

ヒアルロン酸注入とは?
上まぶたのくぼみにヒアルロン酸を注入して、ボリュームを補う方法です。
注入量は0.2〜0.5mlほどで、目元のラインを見ながら丁寧に調整します。
| 項目 |
内容 |
| メリット |
* 即効性がある(注入直後から変化を実感)
* ダウンタイムがほぼない
* 修正・溶解が容易 |
| デメリット |
* 効果が6〜12ヶ月程度と一時的
* 薄い皮膚では凹凸が出やすい
* 体質により吸収が早い場合も |
軽度のくぼみに適しており、「まずは試したい」という方におすすめです。
脂肪注入(マイクロCRF・ナノファット)

脂肪注入とは?
自分の脂肪を採取(主に太ももやお腹)し、特殊な処理で高濃度に精製した脂肪(CRF)を注入します。自然な仕上がりで定着すれば半永久的に効果が続きます。
| 項目 |
内容 |
| メリット |
* 自然なふくらみと柔らかさ
* 定着すれば長期的に維持可能
* 自分の組織を使うためアレルギーがない |
| デメリット |
* 吸収率に個人差あり
* ダウンタイム(腫れ・内出血)が数日発生
* 採脂部位のケアが必要 |
マイクロCRFやナノファットはしこりになりにくく、繊細な目元にも適応できる最新技術です。
上まぶたの皮膚・脂肪調整手術

上まぶたの皮膚・脂肪調整手術とは?
たるみが強い場合や、二重ラインが乱れているケースでは外科的手術が有効です。
余剰皮膚を切除し、必要に応じて脂肪を再配置することで構造的に改善します。
| 項目 |
内容 |
| メリット |
* 根本的・長期的に改善
* 二重ラインも整う
* 加齢性の変化に対応できる |
| デメリット |
* ダウンタイムが1〜2週間ほど
* 傷跡が落ち着くまでに時間がかかる |
見た目の変化が大きいため、熟練した形成外科医による手術が望まれます。
眼窩脂肪移植

眼窩脂肪移植とは?
目の奥にある脂肪(眼窩脂肪)を移動または再配置する手術です。
もともと「目の下のクマ」治療として発展しましたが、上下のバランスを整えることで、上まぶたのくぼみまで改善できるケースがあります。
| 項目 |
内容 |
| メリット |
* 自然で長期的な若返り
* 目の上下の立体感が整う
* 傷跡がほとんど残らない |
| デメリット |
* 高度な技術が必要
* 一時的な腫れ・違和感がある |
目の上がくぼみ目の方に脱脂術ではなく裏ハムラ法を行う理由

「クマ取り」として一般的な脱脂術は、膨らんだ脂肪を除去するだけの手術です。
確かに目の下のふくらみは減りますが、脂肪を取りすぎると目の下がへこみ、結果的に「老けた印象」になることがあります。
裏ハムラ法とは?
一方で、裏ハムラ法(経結膜的眼窩脂肪移動術)は、脂肪を「除去する」のではなく「移動・再配置」する方法です。
下まぶたの裏側(結膜側)からアプローチし、突出している脂肪を涙袋の下やくぼみ部分へスムーズに移動させます。
この方法により、以下の3つの効果を得られます。
- 下まぶたのふくらみがなめらかになる
- 目の下の影(クマ)が改善する
- 目全体の立体バランスが整う
さらに、目の下が明るくなることで、目の上のくぼみも相対的に目立たなくなるケースがあります。顔全体の印象として「疲れ顔」から「若々しい印象」に変化するのです。
【裏ハムラ法が向いている方】
- 目の下の膨らみと上まぶたのくぼみの両方が気になる
- ヒアルロン酸・脂肪注入で満足できなかった
- 自然な仕上がり・長期的な効果を求めている
- 表に傷を残したくない
裏ハムラ法は、結膜側(裏側)から行うため、外から傷が見えません。
また、脂肪を再配置することでボリュームを保ちながらも滑らかな仕上がりになります。
【他の手術との違い】
裏ハムラ法は「自然な若返りを求める方」に最適な治療といえます。
施術事例【40代/女性 裏ハムラ法により目の下のクマ・くぼみ目(目の上のくぼみ)が同時に改善



裏ハムラ法は、主に下まぶたのクマ(ふくらみ・くぼみ)を改善する施術です。まぶたの裏側(結膜側)から脂肪を移動させ、下まぶたの段差や影をなめらかに整えます。
一般的には上まぶたのくぼみに直接の効果はないとされますが、当院では裏ハムラ法によって目の下だけでなく、目の上のくぼみも改善する症例を多く経験しています。
くぼみ目とクマの関係
目の上のくぼみと目の下のクマは、どちらも「眼窩脂肪」の位置変化に関係しています。
年齢とともに脂肪が下方向にずれていく現象を「眼窩脂肪の偏在」といいます。

実際に脂肪が大きく移動するわけではありませんが、上の脂肪が減って下が膨らむように見える状態です。
その結果、以下の変化が起こります。
- 目の上 → 脂肪が減ってくぼむ
- 目の下 → 脂肪がたまり膨らむ
裏ハムラ法で目の下のクマ+目の上のくぼみ(くぼみ目)も改善
目の下のクマは、下に移動した眼窩脂肪が靱帯(Orbital Retaining Ligament)で止まり、垂れ下がるように出ている状態です。
裏ハムラ法ではこの靱帯を切り、飛び出した脂肪をくぼみに再配置します。
当院では、眼窩脂肪とそれを包む膜(眼窩隔膜)を一体で移動させるのが特徴です。
伸びて緩んだ膜を引き伸ばして元の位置に戻すことで、以下の効果を期待できます。
- クマの改善
- 眼窩隔膜の補強による再発防止
- 上まぶたのくぼみの自然な回復
この「膜ごと移動し、蓋をして脂肪の行き場をなくす」構造が、目の上のくぼみまで改善する理由と考えられます。
Dr.三沢
裏ハムラ法は「目の下のクマ取り手術」として知られていますが、当院のように眼窩隔膜+眼窩脂肪一体型で行えば、上まぶたのくぼみ(くぼみ目)にも良い影響を与え、若々しい立体的な目元を取り戻すことができます。
【裏ハムラ法】目の下のクマ・くぼみ目(目の上のくぼみ)が同時に改善
よくあるご質問
ダイエットにより痩せすぎると目の上がくぼみますか?
はい、急激なダイエットや過度な食事制限によって、顔全体の脂肪が減少すると目の上の脂肪も減り、くぼみ目になることがあります。目の上には「眼窩脂肪」と呼ばれる脂肪が存在し、この脂肪がボリュームを保つことで若々しい目元を支えています。しかし、体脂肪が急に減るとこの部分も痩せてしまい、骨格が浮き出たように見えたり、老けた印象を与えてしまうことがあります。
また、タンパク質不足や鉄・ビタミンB群の欠乏など、栄養バランスの乱れも皮膚のハリや弾力を低下させる原因となります。健康的に痩せたい場合は、短期間での急激な体重減少を避け、タンパク質をしっかり摂取するよう意識しましょう。
日によって急に目のくぼみがひどくなることはありますか?
日によってくぼみが強く見えることは珍しくありません。これは体調や生活習慣の変化が一時的に影響している場合が多いです。たとえば、睡眠不足、過労、ストレス、脱水、ホルモンバランスの乱れなどで血行やリンパの流れが悪くなると、目の周囲の皮膚がむくんだり、逆にハリを失ってくぼみが目立つことがあります。
また、エアコンによる乾燥や長時間のパソコン・スマホ使用も、眼精疲労を引き起こして目の上の筋肉がこわばり、くぼみを強調させてしまいます。こうした日常的な変化は、休息や保湿ケアを意識することで改善することも多いですが、慢性的にくぼみが続く場合は、加齢や眼窩脂肪の減少など構造的な原因が考えられます。
くぼみ目にマッサージやトレーニングは有効ですか?
軽度のくぼみであれば、血流を良くするためのやさしいマッサージや目元トレーニングが一時的な改善に役立つこともあります。特に目の周りの筋肉(眼輪筋)を動かすエクササイズは、むくみを取り除き、目元の血色を良くする効果があります。
しかし、すでに脂肪や組織が減少している場合、セルフケアだけでは根本的な改善は難しいのが現実です。過度なマッサージは皮膚を引っ張りすぎてシワやたるみの原因にもなります。根本的にボリュームを取り戻したい場合は、医療的なアプローチ(ヒアルロン酸注入やマイクロCRFなどの脂肪注入)を検討することをおすすめします。専門医による診断で、くぼみの原因に合わせた最適な治療法を選ぶことが大切です。
目のくぼみ対策としてクリームやメイクでカバーできますか?
保湿やメイクである程度くぼみを目立たなくすることは可能です。アイクリームや保湿クリームでしっかり保湿すると、皮膚のハリが戻り、くぼみが浅く見えることがあります。レチノールやペプチドなど、コラーゲン生成を促す成分を含んだアイクリームを使用すると、目元の質感改善にも役立ちます。
メイクでは、くぼみ部分に明るめのコンシーラーやハイライトを軽くのせ、上まぶたに自然なグラデーションをつけるとふっくらとした印象を演出できます。逆に濃い色のアイシャドウをくぼみの部分にのせると、陰影が強調されて老けた印象になるため注意が必要です。
ただし、これらはあくまで“見た目を整える一時的な方法”です。くぼみが進行している場合や左右差がある場合には、医療的な治療を組み合わせることで、より自然で長期的な改善が期待できます。
まとめ
- 上まぶたのくぼみは、単なる美容上の悩みではなく、加齢による構造的変化が原因です。
セルフケアでは一時的な改善しか得られず、根本的な解決には医療的アプローチが必要になります。
- その中でも、裏ハムラ法は目の下のクマと上まぶたのくぼみを同時に整える唯一の施術として注目されています。
脂肪を生かしながら立体的に再配置することで、人工的な印象にならず、自然に若返ることが可能です。
- ・目の下の影を消したい
・上まぶたのくぼみをふっくらさせたい
・表情を明るく若々しく見せたい
このような方は、まず専門クリニックで診断を受けてみてください。
目の構造や脂肪の位置は人それぞれ異なります。経験豊富な形成外科医に相談することで、自分に合った施術を提案してもらえます。